细胞核(Nucleus)是真核细胞内最大、最重要的细胞结构,是细胞遗传与代谢的调控中心,是真核细胞区别于原核细胞显著的标志之一(极少数真核细胞无细胞核,如哺乳动物成熟的红细胞、高等植物成熟的筛管细胞等)。它主要由核膜(Nuclear Membrane)、染色质(Chromatin)、核仁(Nucleolus)、核基质(Nuclear matrix)等组成。细胞核作为一个遗传转录位点,与细胞质中翻译位置是分开的,最主要功能是在细胞周期中控制基因表达并介导DNA的复制。
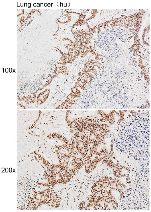
胞环蛋白肌动蛋白结合蛋白(Anillin,ANLN)主要存在于细胞核中,是胞质分裂所必需的,在胞质分裂期间位于卵裂沟,Anillin对卵裂沟的结构完整性和卵裂沟的侵入是一定的。

图1 免疫组化结果示意图
(ANLN抗体:K008304P)
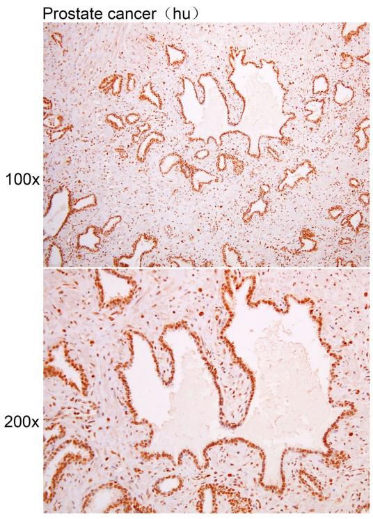
核仁磷酸蛋白(Nucleophosmin,NPM1)参与核糖体装配和rRNA转运,对含有核定位信号的肽具有高亲和力。蛋白质穿过核膜的转运是一个选择性、多步骤的过程,蛋白质被识别为输入底物,与核孔复合体对接,以ATP依赖的方式跨核膜转运。

图2 免疫组化结果示意图
(NPM1抗体:K107828P)
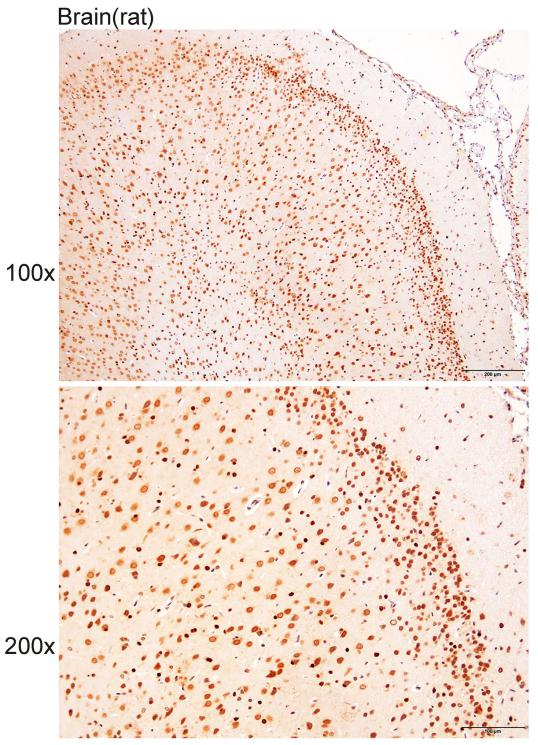
组蛋白(Histone)是负责真核生物中染色体纤维核小体结构的基本核蛋白。核小体由包裹在组蛋白八聚体周围的约146 bp的DNA组成,组蛋白八聚体由四种核心组蛋白(H2A、H2B、H3和H4)成对组成。组蛋白还在各种生物过程中起关键作用,包括基因表达和调节、DNA修复、染色质浓缩、细胞周期进程、染色体分离和凋亡等。

图3 免疫组化结果示意图
(Histone H3抗体:K200065M)
另外,还有更多蛋白被鉴定可用作细胞核标志物(见表1)。
表 1 细胞核标志物

相关产品
